医療法人ベルウェル

歯医者は和歌山県、和歌山市にてきれいな歯並びを目指す | マウスピース矯正

ウェブ予約はこちら

マウスピース矯正

歯並びのお悩みにインビザライン矯正

MOUTHPIECE ORTHODONTICS

見た目の美しさと快適な装着感を兼ね備えたインビザライン矯正を提供し、歯並びのお悩みに寄り添っております。この矯正法は取り外しができ、食事や歯磨きの際にも支障が少なく、患者様のライフスタイルを維持しながら治療を進められます。初めての方も安心して治療を受けられるよう、事前のカウンセリングを通じて丁寧にサポートし、患者様のニーズに応じた治療計画をご提案いたします。


無料の矯正相談
info.creadent@gmail.com

新しい自分を手に入れるために

矯正を断念していた方におすすめ

歯並びを治したかったけど、矯正を断念していた方におすすめなのがマウスピース型の装置を使用した矯正治療です。

以下のような理由で諦めていた方には、そのデメリットが無く、矯正が始められます。

矯正を断念する代表的な理由

・矯正装置の見た目が悪い
・矯正治療は痛みが大きい
・費用が高い
・治療回数が多い、長い
・金属アレルギーがある

マウスピース矯正とは?

マウスピース型の装置を使用した矯正治療

インビザラインとは、「マウスピース型の矯正装置」です。一般的なワイヤーを使った矯正装置とは異なり、薄く透明なプラスチックでできているため、装着していても目立たないのが大きな特徴です。目立つ矯正装置に抵抗のある方や、職業上の理由で目立つ矯正装置がつけられないといった方に人気の治療で、1997年に開発されて以降、世界で1800万人以上の方が治療を受けてきた実績があります。 (2025年3月現在)

インビザラインが他の矯正装置と大きく異なるのは、目立たないだけでなく、患者様ご自身で着脱ができるという点です。食事の際には矯正装置を取り外せるので、治療前と同じように食事を楽しむことができます。

また、矯正装置の素材であるプラスチックの弾性を利用し、弱い力で少しずつ歯を動かしていくため、歯にかかる負担も少なく、治療中の痛みを最小限に抑えます。

使用方法や治療期間などについて

インビザラインのアライナー (矯正装置) は、就寝時も含み1日20時間以上装着していただきます。そして、約10日~2週間ごとに次の段階のアライナーに付け替えることで、少しずつ歯を動かしていきます。治療完了までに使用するアライナーの数は、症例によって異なります。数が多いほど治療完了まで時間がかかりますが、平均して1~2年ほどで歯並びを整えることができます。治療期間中は約1~3ヶ月に1回の頻度でご来院いただき、アライナーと歯の適合性やお口の状態をチェックし、次のアライナーをお渡しします。

無料の矯正相談

当院では、随時、無料の矯正相談を行っておりますので、少しでも興味を持たれた方はぜひご相談ください。

インビザラインはアライナー (矯正装置) の装着時間が治療結果に大きく影響を与えるため、患者様ご自身での管理が必要となる治療です。しかしながら、装置の見た目、痛み、治療中の快適さのどれをとっても他の矯正治療にはないメリットが多くあります。

目立つ矯正装置や治療中の不快感で、これまで矯正治療に踏みきれなかった方も、ぜひ一度インビザラインによる矯正治療をご検討ください。

デンタルローンをご利用いただけます

また、当院は新生銀行アプラスと提携し、デンタルローンを取り入れております。最大84回払いまで可能ですので、月々7,500~10,000円程度で矯正治療を受けられます。ご安心して治療を進めていくことができますので、ぜひご利用ください。

〜当院での症例〜

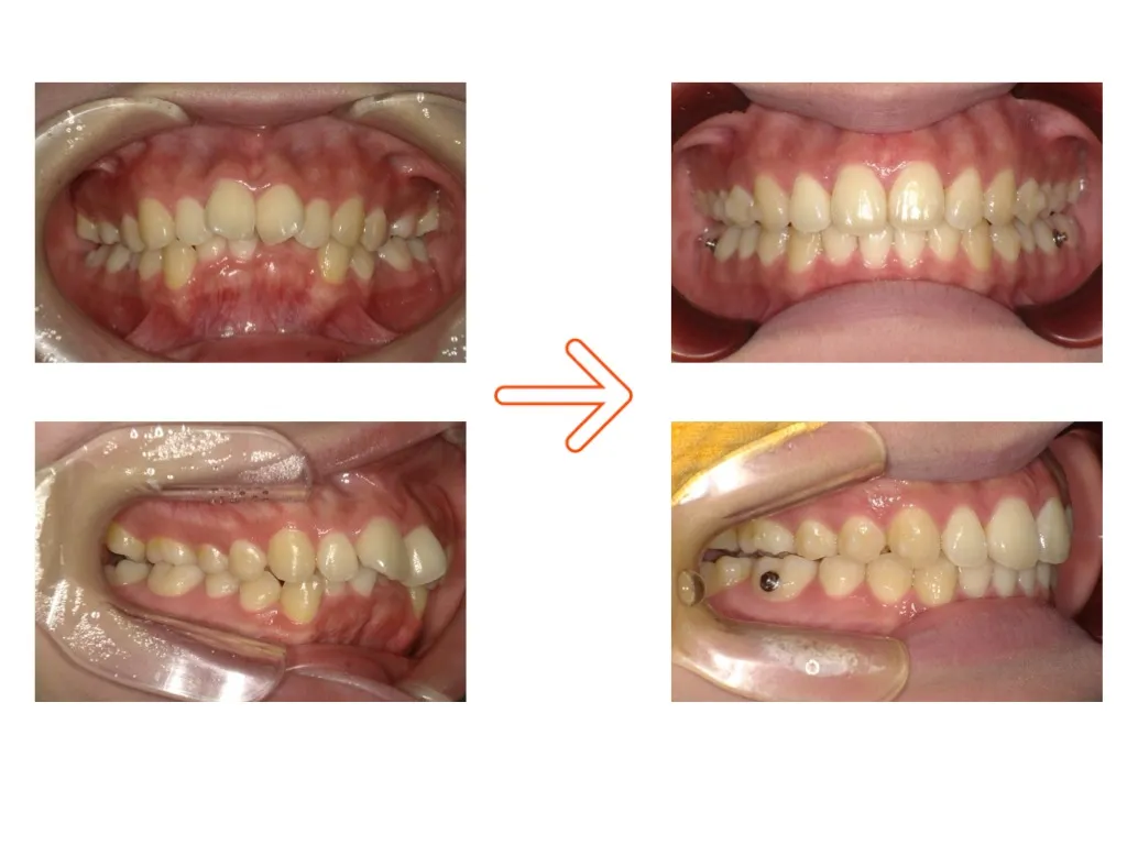
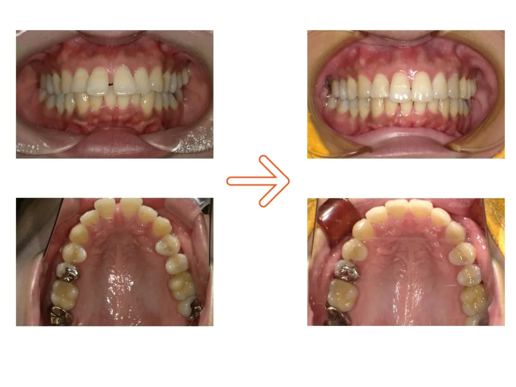
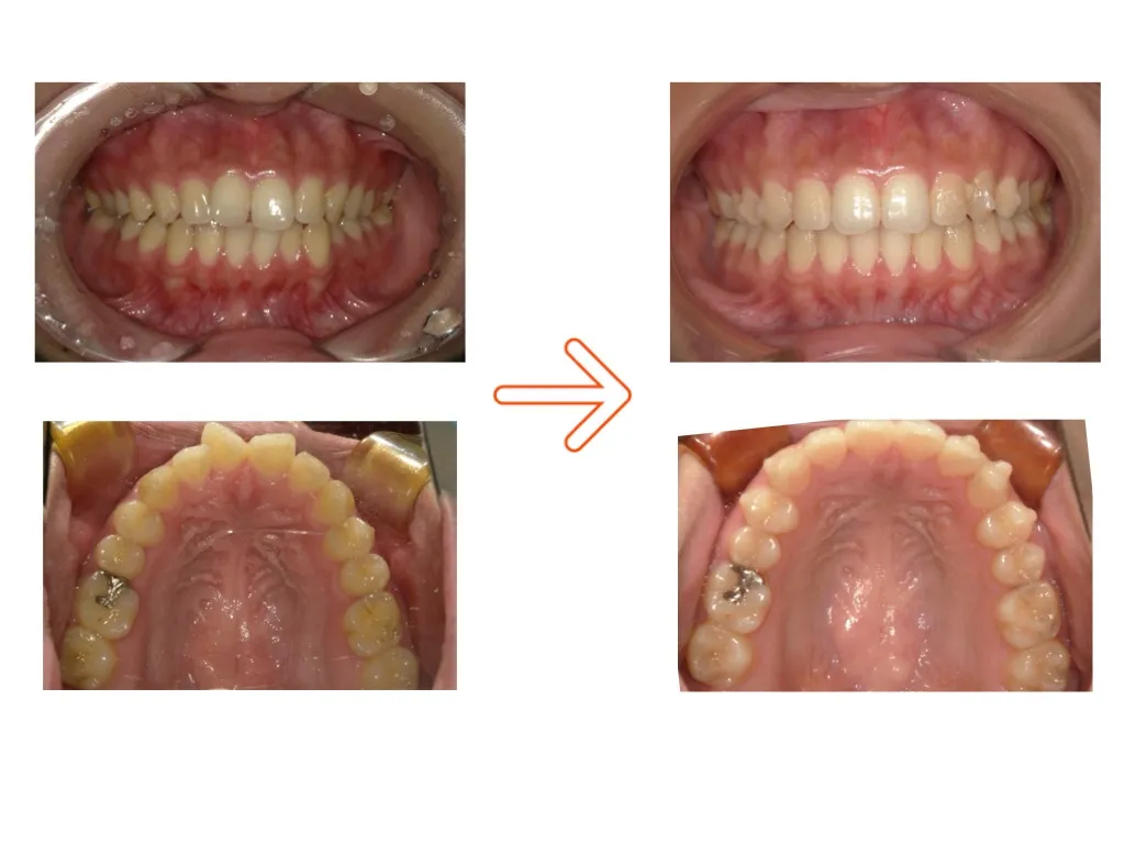
1.出っ歯

前歯同士が噛み合っていないので奥歯の負担が大きくなり、過大負担により虫歯や欠損に繋がりやすい。

上顎前突

・年齢     20代女性

・抜歯部位   上顎左右4番抜歯

・治療装置   インビザライン

・治療期間   24ヶ月

・治療費    トータルフィー 946,000円(税込)

・副作用    痛み、歯根吸収、歯肉退縮、歯髄壊死

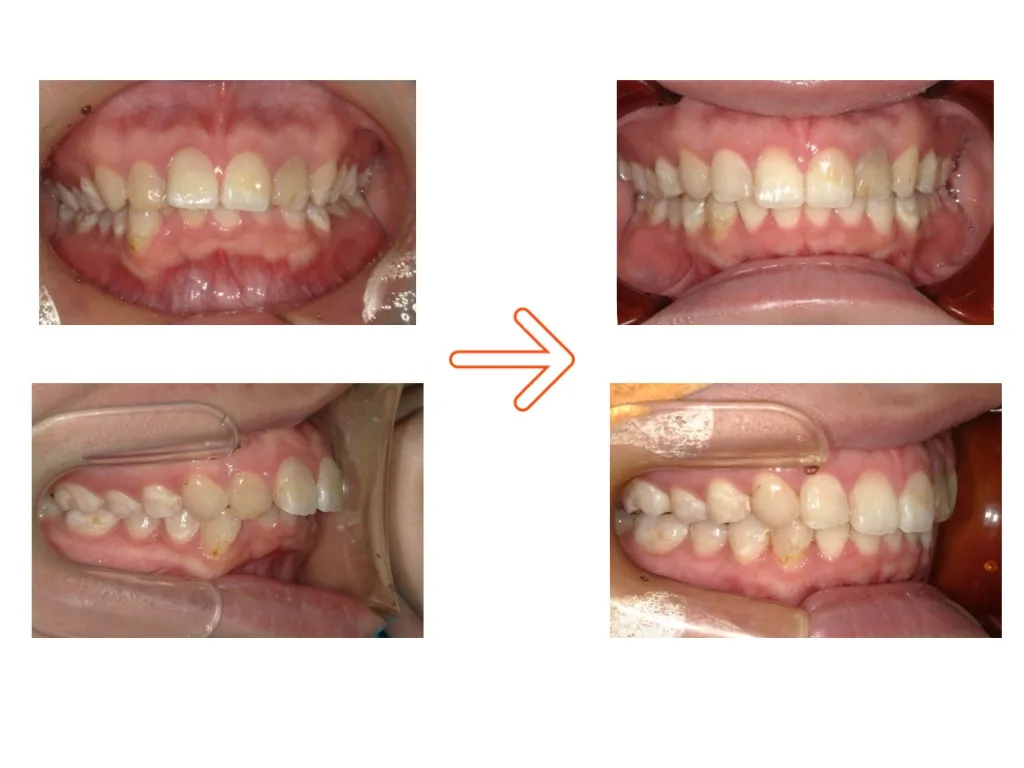
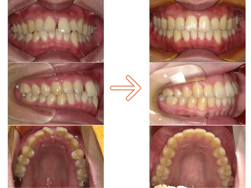
上顎前突

20代女性

・抜歯部位   なし

・治療装置   インビザライン

・治療期間   39ヶ月

・治療費    トータルフィー 913,000円(税込)

・副作用    痛み、歯根吸収、歯肉退縮、歯髄壊死

上顎前突

・年齢     20代女性

・抜歯部位   なし

・治療装置   インビザライン

・治療期間   14ヶ月

・治療費    トータルフィー 913,000円(税込)

・副作用    痛み、歯根吸収、歯肉退縮、歯髄壊死

上顎前突

・年齢     20代女性

・抜歯部位   なし

・治療装置   インビザライン

・治療期間   38ヶ月

・治療費    トータルフィー 913,000円(税込)

・副作用    痛み、歯根吸収、歯肉退縮、歯髄壊死

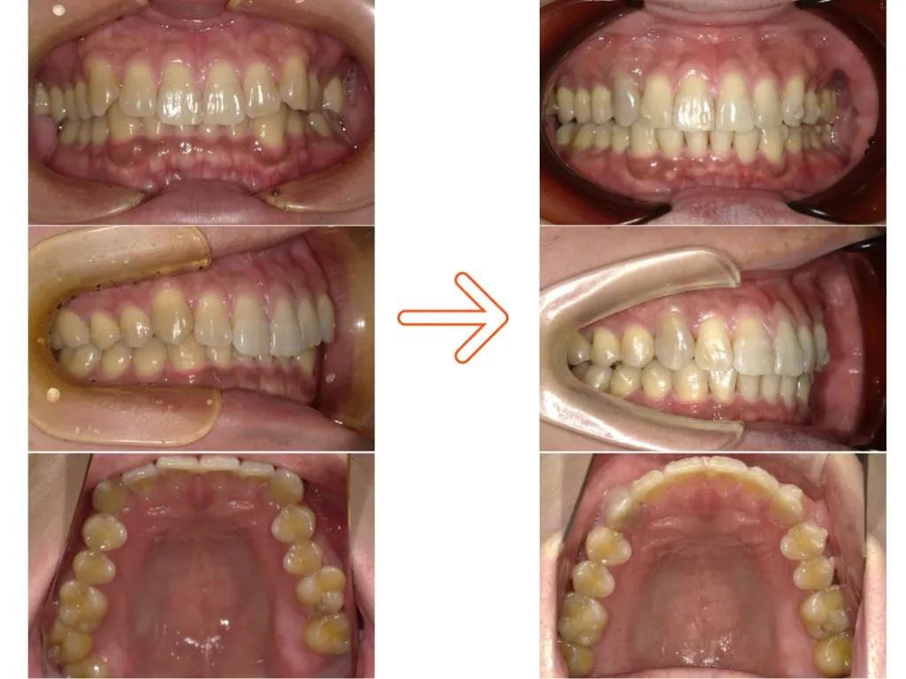
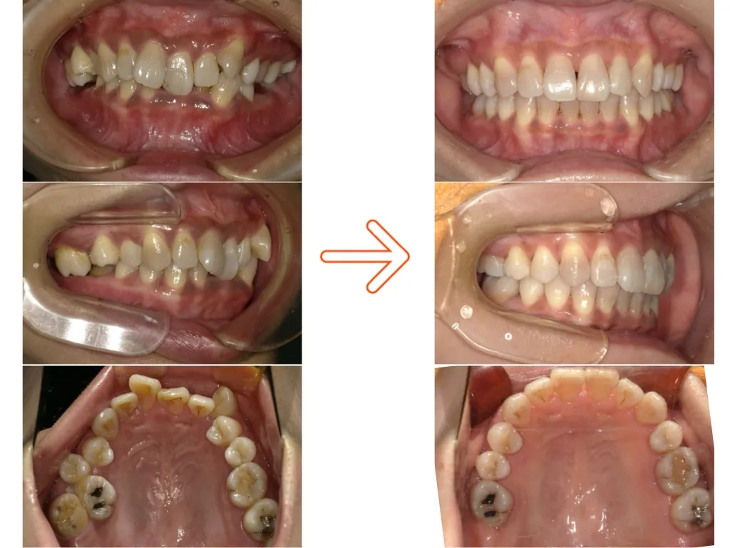
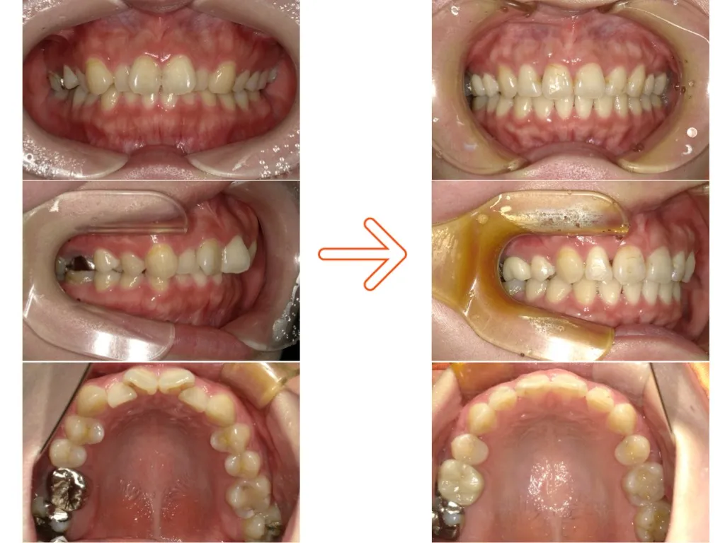
2.歯がガタガタ・八重歯

噛み合わせや見た目の不調和に加え、最も重要な犬歯が働いていないので、奥歯の過大負担により虫歯や欠損に繋がりやすい。

叢生

40代女性

・抜歯部位   右上7番、左上4番、左上8番 抜歯

・治療装置   インビザライン

・治療期間   38ヶ月

・治療費    トータルフィー 913,000円(税込)

・副作用    痛み、歯根吸収、歯肉退縮、歯髄壊死

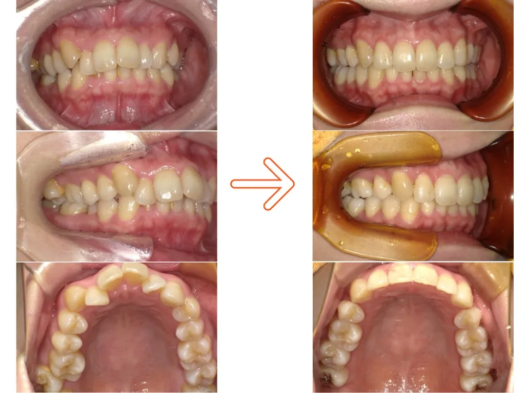
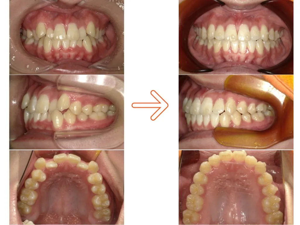
叢生・八重歯

30代女性

・抜歯部位   なし

・治療装置   インビザライン

・治療期間   23ヶ月

・治療費    トータルフィー 913,000円(税込)

・副作用    痛み、歯根吸収、歯肉退縮、歯髄壊死

叢生

20代女性

・抜歯部位   上顎左右4番 抜歯

・治療装置   インビザライン

・治療期間   35ヶ月

・治療費    トータルフィー 913,000円(税込)

・副作用    痛み、歯根吸収、歯肉退縮、歯髄壊死

叢生・八重歯

サブタイトル

20代女性

・抜歯部位   なし

・治療装置   インビザライン

・治療期間   17ヶ月

・治療費    トータルフィー 913,000円(税込)

・副作用    痛み、歯根吸収、歯肉退縮、歯髄壊死

3.すきっ歯

正中離開

20代女性

・抜歯部位   なし

・治療装置   インビザライン

・治療期間   25ヶ月

・治療費    トータルフィー 913,000円(税込)

・副作用    痛み、歯根吸収、歯肉退縮、歯髄壊死

正中離開

30代男性

・抜歯部位   なし

・治療装置   インビザライン

・治療期間   11ヶ月

・治療費    トータルフィー 913,000円(税込)

・副作用    痛み、歯根吸収、歯肉退縮、歯髄壊死

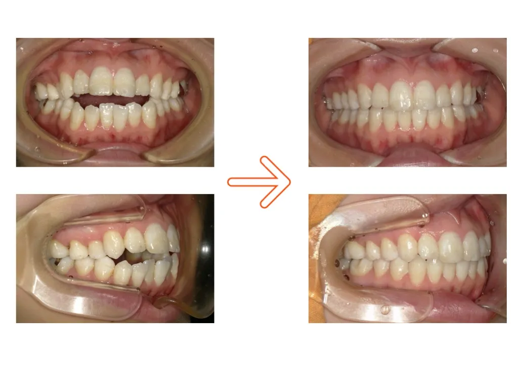
4.開咬

前歯同士が噛み合っていないので奥歯の負担が大きくなり、過大負担により虫歯や欠損に繋がりやすい。

開咬

20代女性

・抜歯部位   なし

・治療装置   インビザライン

・治療期間   25ヶ月

・治療費    トータルフィー 913,000円(税込)

・副作用    痛み、歯根吸収、歯肉退縮、歯髄壊死

5.噛み合わせが深い

下の前歯と上の歯茎が噛み込んでいる場合もあり、前歯同士がちゃんと噛み合っていないので奥歯の負担が大きくなり、過大負担により虫歯や欠損に繋がりやすい。

タイトル

サブタイトル

20代男性

・抜歯部位   なし

・治療装置   インビザライン

・治療期間   25ヶ月

・治療費    トータルフィー 913,000円(税込)

・副作用    痛み、歯根吸収、歯肉退縮、歯髄壊死


マウスピース矯正のメリットとデメリット

メリット

透明で目立たない

MERIT1

インビザラインは、ごく薄く透明なマウスピース型の矯正装置なので、歯の表面にワイヤーを取りつける矯正装置のように目立ちません。そのため、矯正治療中であっても、口元を気にせずに笑顔を見せることができます。また、周りの人に気付かれずに、歯並びを整えることが可能です。

痛みが少ない

MERIT2

インビザラインによる矯正治療では、理想的な歯並びにするために、形状の異なる複数の矯正装置 (アライナー) を段階的につけ替えていきます。一つのアライナーによる歯の移動量は、わずか0.25mmと少なく、弱い力で少しずつ歯並びを整えていくため、歯に過度の負担がかかることがなく、痛みが抑えられます。また、ワイヤー矯正のように、金属製のワイヤーやブラケットによって、唇や頬の内側の粘膜が傷つくこともありません。

事前に治療終了時の3Dシミュレーションができる

MERIT3

インビザラインシステムは、診断時に採った資料を元に3Dで歯の移動をシミュレーションを行った上で治療計画を立てますので、患者様にも治療をスタートする前にゴールが視覚的にわかります。

取り外しができる

MERIT4

インビザラインはほかの矯正装置とは違って、患者様ご自身で装着を着脱できるのも大きな特徴です。歯磨きの際にはアライナーを取り外して、治療前と同じようにしっかりと歯を磨くことができ、アライナー自体も清掃できるのでお口を清潔に保つことができます。

食事がしやすい

MERIT5

食事の際にはアライナーを取り外すため、ワイヤー矯正のように「装置に食べ物が挟まる」などということを気にする必要はなく、食べたいものを食べて食事を楽しむことができます。

金属アレルギーでも安心

MERIT6

インビザラインのアライナーは、プラスチック製で金属を一切使用しないため、金属アレルギーがある方でも安心して矯正治療を受けることができます。

通院回数が少なくすむ

MERIT7

インビザラインによる矯正治療では、患者様ご自身でアライナーのつけ替えを行っていただきます。ほかの矯正装置とは違って、矯正歯科医による矯正装置の調整メンテナンスをほとんど必要としないため、通院回数が少なくすみます。

同時にホワイトニングが可能

MERIT8

インビザラインのアライナーをホームホワイトニングのマウスピースとして併用できるため、より綺麗に矯正を進めていくことができます。

デメリット

すべての症例に適応可能ではない

DEMERIT1

インビザラインの治療技術の進歩により、幅広い症例に対応できるようになっていますが、患者様のお口の状態によってはインビザラインによる矯正治療が適していない場合もあります。顎が前後もしくは左右に大きくずれているなど、骨格に問題がある場合や、歯並び大きく乱れて複雑に歯が重なり合っているような場合では、インビザラインでの矯正治療は適していません。そのような症状がある場合は、ワイヤー矯正などほかの矯正治療で治療を行なうか、もしくはワイヤー矯正とインビザラインを併用することで歯並びを整えていくことができます。

装着を怠ると計画通りに治療が進まないこともある

DEMERIT2

インビザラインによる矯正治療において良好な結果を出すためには、アライナーを1日20時間以上装着することが必要です。装着し忘れることが多くなると、目標とする位置までに歯がなかなか動かず治療結果に悪影響を及ぼしてしまうので、患者様でしっかりと自己管理をしていただくことが大切です。

ワイヤー矯正よりも治療期間がかかる場合もある

DEMERIT3

インビザラインによる治療期間は、ワイヤー矯正とほぼ同じか若干短いケースが多いですが、症状によってはワイヤー矯正で治療したほうが、治療期間が短くなる場合もあります。

診断が甘い・経験が浅い歯科医師でも施術ができる治療期間がかかる場合もある

DEMERIT4

インビザラインは、従来の矯正のようにワイヤーを曲げたり特殊な技術が必要でないため、手軽に矯正治療の施術ができます。しかし、特殊技術が必要でないが故、スタート時の診断がしっかりできていないと噛み合わせがぐちゃぐちゃになったり、治療期間が大幅に伸びたりします。そのため値段だけではなく、信頼関係を築ける医院で施術を受ける事をおすすめいたします。


治療のながれ

相談から通院まで

1. 無料相談

矯正とはどんなものか、費用、治療期間、大まかなスケジュールなどの相談をします。

2. 精密診断資料採り

矯正治療の診断に必要な検査や資料採りを行います。

3. 診断結果コンサルテーション・3Dシミュレーションご説明

診断結果や、その結果に基づいた治療計画のご提案、最終的にどんな歯並びになるのかを3Dシミュレーションを用いて視覚的にご説明、最終的な費用のご説明などをします。

4. マウスピース矯正スタート

あなただけのオーダーメイドのマウスピース矯正装置が完成し、その使い方や注意事項などをご説明します。

5. 通院

約1~2ヶ月に一度の来院で矯正の進行をチェック。

その他

費用

  • 部分矯正
    矯正治療に必要な費用は全て含まれています。

    330,000円~660,000円 (税込)

  • 全顎矯正
    矯正治療に必要な費用は全て含まれています。

    935,000円 (税込)

  • リテーナー(上下1セット)

    33,000円 (税込)

  • リテーナー(上下3セット)
    矯正後の後戻りを防ぐ装置です。

    66,000円 (税込)

矯正にあたり、抜歯が必要な場合は「16,500円/本 (税込) 」がかかります。 (親知らずを除く)
「虫歯・歯周病・クリーニング」など、矯正治療以外は費用がかかります。 (健康保険も使えます。)

治療期間

平均1~3年

治療期間は、歯並びにより大きく変動します。

当店でご利用いただける電子決済のご案内

下記よりお選びいただけます。